TRAUMATOLOGIA GERIATRICA: chirurgia mini-invasiva, trattamento osteoporosi senile, ortogeriatria (50% attivita’ chirurgica).
CHIRURGIA PROTESICA: anca, ginocchio.
CHIRURGIA DELLA MANO: lesioni tendinee e nervose, S.T.C., M. di Dupuytren, rizoartosi, protesi in pirocarbonio dita, carpo e polso.
CHIRURGIA ARTROSCOPICA: ginocchio, caviglia e spalla, ricostruzione del Legamento Crociato Anteriore del ginocchio.
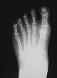
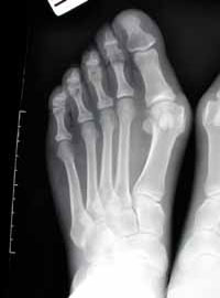
CHIRURGIA DEL PIEDE: diabetico, alluce valgo, dita a martello, neuroma di Morton.
Accoppiamenti articolari con polietilene ad alta resistenza usura; ceramica delta e metallo metallo.
Modularità per ottenere una riscostruzione anatomica.

PROTESI POLSO E MANO